royal皇家88

Call us now0755-8668-0658 Emailinfo@gaoyoutc.com

疾病简介

宫颈癌

宫颈癌是最常见的妇科恶性肿瘤。原位癌高发年龄为30~35岁,浸润癌为45~55岁,近年来其发病有年轻化的趋势。近几十年宫颈细胞学筛查的普遍应用,使宫颈癌和癌前病变得以早期发现和治疗,宫颈癌的发病率和死亡率已有明显下降。病因可能是病毒感染、性行为及分娩次数、其他生物学因素、其他行为因素

常见症状

阴道流血、阴道排液
尿频、尿急、便秘
下肢肿痛
贫血、恶病质

ACTL治疗方案

按照《肿瘤患者筛选标准》确定患者ACTL治疗的适应症后,应根据患者的具体情况,如患者的病情,接受放、化疗情况等,确定其ACTL治疗的具体方案,并掌握如下原则:

1、患者应有血常规、肝肾功能、相关的血清肿瘤标志物(肿瘤抗原或肿瘤相关抗原)化验检测以及影像学检查结果。

2、在ACTL治疗期间,除具有对免疫功能造成损害或者骨髓抑制作用的治疗外,患者可接受其他抗肿瘤治疗。

3、每次治疗回输患者的抗原特异性的细胞毒性T淋巴细胞(cytotoxic T Iymphocytes,CTL)数量应≥1*108

4、对于存在过敏体质或年老体弱的患者,回输CTL时,可考虑给予小剂量的地塞米松。

5、临床治疗级白细胞介素2(IL-2):回输CTL同时,推荐静脉输注IL-2,以调整患者的免疫功能,延长CTL在体内的活性,提高杀伤肿瘤细胞效率。首次回输时,推荐剂量为50万单位,以观察患者对IL-2的耐受性。若患者无明显不良反应或过敏反应,第二次ACTL治疗起,每次回输CTL的同时,给予100-200万单位IL-2。不建议使用我国SFDA批准用于临床治疗的

按照《肿瘤患者筛选标准》确定患者ACTL治疗的适应症后,应根据患者的具体情况,如患者的病情,接受放、化疗情况等,确定其ACTL治疗的具体方案,并掌握如下原则:

1、患者应有血常规、肝肾功能、相关的血清肿瘤标志物(肿瘤抗原或肿瘤相关抗原)化验检测以及影像学检查结果。

2、在ACTL治疗期间,除具有对免疫功能造成损害或者骨髓抑制作用的治疗外,患者可接受其他抗肿瘤治疗。

3、每次治疗回输患者的抗原特异性的细胞毒性T淋巴细胞(cytotoxic T Iymphocytes,CTL)数量应≥1*108

4、对于存在过敏体质或年老体弱的患者,回输CTL时,可考虑给予小剂量的地塞米松。

5、临床治疗级白细胞介素2(IL-2):回输CTL同时,推荐静脉输注IL-2,以调整患者的免疫功能,延长CTL在体内的活性,提高杀伤肿瘤细胞效率。首次回输时,推荐剂量为50万单位,以观察患者对IL-2的耐受性。若患者无明显不良反应或过敏反应,第二次ACTL治疗起,每次回输CTL的同时,给予100-200万单位IL-2。不建议使用我国SFDA批准用于临床治疗的

按照《肿瘤患者筛选标准》确定患者ACTL治疗的适应症后,应根据患者的具体情况,如患者的病情,接受放、化疗情况等,确定其ACTL治疗的具体方案,并掌握如下原则:

1、患者应有血常规、肝肾功能、相关的血清肿瘤标志物(肿瘤抗原或肿瘤相关抗原)化验检测以及影像学检查结果。

2、在ACTL治疗期间,除具有对免疫功能造成损害或者骨髓抑制作用的治疗外,患者可接受其他抗肿瘤治疗。

3、每次治疗回输患者的抗原特异性的细胞毒性T淋巴细胞(cytotoxic T Iymphocytes,CTL)数量应≥1*108

4、对于存在过敏体质或年老体弱的患者,回输CTL时,可考虑给予小剂量的地塞米松。

5、临床治疗级白细胞介素2(IL-2):回输CTL同时,推荐静脉输注IL-2,以调整患者的免疫功能,延长CTL在体内的活性,提高杀伤肿瘤细胞效率。首次回输时,推荐剂量为50万单位,以观察患者对IL-2的耐受性。若患者无明显不良反应或过敏反应,第二次ACTL治疗起,每次回输CTL的同时,给予100-200万单位IL-2。不建议使用我国SFDA批准用于临床治疗的

  • I . II期肿瘤患者

    1、每月一次ACTL科研治疗,六个月为一个疗程;
    2、每月检查一次相关的血清肿瘤标志物以及其他项目;
    3、二个疗程后,进行全面评估,评估主要指标为相应的血清肿瘤标志物变化情况以及影像学检查结果,如MRI、CT或者PRT-CT等,推荐PET-CT扫描。次要的评估标准为患者的自觉症状;
    4、一个疗程后,若患者病情改善或稳定,可进行进行治疗。


  • III. IV期肿瘤患者

    1、每月二次ACTL科研治疗,三个月为一个疗程;
    2、每月检测一次相关的血清肿瘤标志物以及其他项目;
    3、第一个疗程结束后,进行全面评估以决定是否继续进行ACTL科研治疗。


  • 放、化疗结束的患者

    1、放、化疗结束的患者的血白细胞数量恢复或接近正常后,可根据上述治疗方案进行ACTL科研治疗;
    2、使用提高白细胞数量的药物促使白细胞数量增加的患者不考虑立即接受ACTL科研治疗。

  • 接受放、化疗的患者

    1、正在接受放、化疗的患者,不推荐同时接受ACTL科研治疗;
    2、准备接受放、化疗的患者,可考虑如下ACT科研L治疗方案,但注意发生明显的白细胞数量下降或者骨髓抑制现象后,停止ACTL治疗;
    3、以间隔2周的化疗方案为例:在首次化疗前1-2天,开始首次进行ACTL科研治疗的细胞培养阶段。在第二次化疗前的2-3天提取患者外周血细胞后,立即输入首次制备的CTL。以后均按照这种ACTL与化疗交替进行治疗。当发生明显的白细胞数量下降或者骨髓抑制现象后,停止ACTL科研治疗;


  • 病情严重、进展快的患者

    1、针对此类患者,采取“冲击”治疗方案;
    2、每十天进行一次ACTL科研治疗,每月三次,两个月为一个疗程;
    注:抽取第一次患者外周血细胞后,每隔十天提取下一次外周血,按此规律重复进行六次。
    3、第一个疗程结束后,进行全面评估,考虑后续治疗方案。


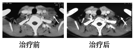
ACTL治疗案例

合作医院

  • 江苏省人民医院
  • 中山大学附属肿瘤医院
  • 北京大学深圳医院
  • 西京医院第四军医大学第一附属医院
  • 徐州市第三人民医院
  • 天津市肿瘤医院
  • 苏州大学附属医院
  • 南方医科大学中西医结合医院
  • 无锡中国人民解放军第101医院
  • 常州市第四人民医院

专家咨询